Vaping-related lung injury and COVID-19’s shared symptoms can be confusing
(SACRAMENTO) — A UC Davis Health pediatric team presented a powerful case series of three teenagers who had unexplained breathing problems during the COVID-19 pandemic. The series highlighted the similarities between e-cigarette, or vaping, product use-associated lung injury (EVALI) and COVID-19 symptoms and manifestations.
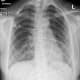
Chest X-ray image of patient with lung injury due to vaping.
“EVALI and COVID-19 share many symptoms but have very different treatment plans,” said Kiran Nandalike, associate professor of pediatrics and lead author on the study. “For this reason, providers caring for pediatric patients with unexplained respiratory failure should consider EVALI and ask for relevant smoking/vaping history.”
Teenagers facing COVID-19 and EVALI
As of February 2020, over 2758 EVALI hospitalized cases and 64 deaths have been reported in the U.S. More than half of those hospitalized were younger than 25 years old.
According to Nandalike, most adolescents who vape using recreational marijuana get the substance from friends, family members or unlicensed dealers. The unregulated access to these products is linked to continued outbreaks in this underage population. E-cigarette products obtained through these informal channels may contain vitamin E acetate, an additive strongly connected to lung injury.
Recent studies indicate that COVID-19-related practices may increase vaping among teenagers. Isolation from the school environment, loneliness, stress of the current pandemic, and lack of social support could increase the potential for substance use. This risk is especially true for young people with preexisting mental health conditions.
EVALI and COVID-19 common symptoms
There are many similarities between EVALI and COVID-19 symptoms, laboratory results and radiologic findings. Common symptoms include fever, cough, nausea, abdominal pain and diarrhea. Both conditions also show bilateral ground glass opacities in chest imaging.
With the COVID-19 pandemic, it is easy to miss EVALI diagnosis. The patients in the case series showed up with fever, nausea and cough. They had fast heart rate, rapid breathing and low oxygen levels in their blood. Their laboratory results pointed to inflammation commonly seen in COVID-19, with higher white blood cells (WBC) count and elevated inflammation. Their chest imaging revealed non-specific ground glass opacities. While everything indicated COVID-19 infection, their SARS-CoV-2 testing returned negative.
The providers probed the teenagers and their parents for any history of vaping in the last 90 days. When the patients shared information about recent vaping, the providers could diagnose EVALI and treat them successfully with corticosteroids.
Daphne Darmawan, pediatric resident at UC Davis Health and first author of the study, is looking at the clinical course and long-term health impacts of teenagers with EVALI. She is working on developing protocols to help with the early identification and treatment of these cases. Starting steroids early for patients with EVALI can be lifesaving and may minimize the duration of hospital stay.
“To help reduce risk of EVALI recurrence, providers would recommend vaping cessation counseling to patients and close outpatient monitoring,” Nandalike said.
